Resumimos la generalidad de los conocimientos en la actualidad y subrayamos nuestras aportaciones explicando y solucionando el Síndrome de la Boca Ardiente.
Concepto
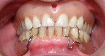
El Síndrome dela Boca Ardiente , SBA, es un cuadro clínico muy frecuente caracterizado por dolor urente, quemante, escozor, picor intrabucal, en lengua, paladar, con trastornos del gusto, amargo o metálico y alteraciones de la salivación, saliva espesa, hiposialia o xerostomía. Aspecto normal de toda la mucosa bucal.
El Síndrome de
Kaposi, glosodinia, dolor lingual en 1885; Verneuil, quemazón bucal y en 1980 se le conoce por SBA.
Sinónimos: boca seca, glosodinia, orodinia, glosopirosis, estomatodinia, estomatopirosis, dolor bucolingual, parestesia bucolingual, disestesia oral, disconfort bucofacial, enfermedad del hombre moderno.
Afecta a + 50 años, + femenino en 7-1. Europa: entre el 20% y el 30% de la población. Estados Unidos: hasta el 42% de la población experimenta este problema.
Para nosotros el cuadro clínico del SBA es una expresión sintomatológica sensitiva y específica de la patología funcional mecánica del Compromiso Articular Temporomandibular, el CAT, como una variante peculiar en algunos pacientes, de tal forma que puede coincidir o no con cefaleas y/o mareos. Además, no tiene por qué existir los tres síntomas en el paciente, xerostomía, disgeusia y quemazón, dándose con frecuencia tan sólo la existencia de uno o dos de ellos.
Etiopatogenia
Alteraciones salivales, fármacos, stress, psíquicas (ansiedad, depresión), menopausia, autoinmune, sistémicas (diabetes, reuma, etc.), función nerviosa alterada en concreto de las terminaciones que se encargan de transportar la sensación del sabor, candidiasis, deficiencias nutricionales, prótesis dentarias mal ajustadas, proceso normal de envejecimiento, higiene bucal deficiente, fracturas dentales, reflujo gastroesofágico, gastritis, tabaquismo, relación entre las molestias y determinados alimentos o sustancias en contacto con la mucosa de la boca (amalgamas u otros elementos de tratamiento odontológico), infección por helicobacter pylori.
Para nosotros el cuadro clínico del SBA se ocasiona por el CAT al impactar la cara interna de la rama mandibular contra el maxilar superior, prótesis, férula, aparatología ortopédica u ortodóncica fija o removible, diente o tuberosidad, y sufrir el nervio lingual una contusión y/o compresión al realizar la mandíbula movimientos protrusivos, laterales o de apertura y cierre, al hablar, masticar, hacer deporte, etc.
Clínica
La explicación de los síntomas es simple y clara ya que se afecta el nervio lingual a nivel del CAT y entonces el estímulo de los receptores sensitivos generales del V par y de los parasimpáticos motores viscerales glandulares sublinguales, submandibulares y de las glándulas salivales menores, se alteran y la señal aferente cerebral es patológica.
Disestesia. Sensación dolorosa de quemazón o de picor localizada por lo general en la punta y partes laterales de la lengua, labios y paladar, sin que se aprecie daño alguno o alteración de la mucosa en las zonas molestas o partes adyacentes. También alcanza la quemazón a la cara interna de la mucosa labial inferior. Suele ser bilateral con predominio de un lado. En algunas ocasiones, las molestias se perciben solo en un lado de la boca, aunque lo habitual es que se extienda a ambos lados y de forma simétrica.
Disestesia. La localización de la quemazón corresponde a zonas en donde se recoge la sensibilidad general del trigémino en mucosa oral y lingual, y la quemazón ocurre por error en la transmisión de la sensación de los nociceptores situados en las terminaciones nerviosas libres de sus neuronas sensitivas primarias. Es frecuente la sensación de ardor o quemazón en la piel si un nervio periférico recibe una compresión. En la boca, el ardor o quemazón tan intenso se puede deber a que las teminaciones libres en la mucosa oral y lingual son mucho mas sensibles, excitables o irritables que sus homónimas en la piel.
Disestesia. La localización de la quemazón corresponde a zonas en donde se recoge la sensibilidad general del trigémino en mucosa oral y lingual, y la quemazón ocurre por error en la transmisión de la sensación de los nociceptores situados en las terminaciones nerviosas libres de sus neuronas sensitivas primarias. Es frecuente la sensación de ardor o quemazón en la piel si un nervio periférico recibe una compresión. En la boca, el ardor o quemazón tan intenso se puede deber a que las teminaciones libres en la mucosa oral y lingual son mucho mas sensibles, excitables o irritables que sus homónimas en la piel.
Disestesia. Sensación de cuerpo extraño en el interior de la boca: asperezas, púas, arenilla, pellejos, hilos, acumulación de sustancias extrañas y pegajosas, pastosidad, disfagia. Sed continua, sequedad de garganta. Sensación de boca escaldada.
La explicación de estos síntomas es porque ocurre una magnificación en la evaluación del tamaño de los elementos histológicos que componen la mucosa oral y lingual, como papilas, etc., de tal forma que el paciente entiende que le han aumentado de tamaño.
Disestesia. La quemazón es por el trauma del nervio que conduce a un error de transmisión al cerebro de sobreexcitación de los nociceptores de las neuronas sensitivas primarias del nervio lingual. Pasa de una sensación normal de presencia a una sobreexcitación patológica. Lo mismo pasa al sentir una magnificación patológica de las papilas en lengua y paladar. Es la misma confusión por el trauma del nervio lingual.
Disgeusia. El sabor a metálico o amargo, es porque se pierde el gusto de lo dulce y salado que pertenece a la cuerda del tímpano del VII par en la punta y bordes de la lengua y sólo se percibe lo amargo porque el IX par funciona normal.
Xerostomía. La sensación de boca seca es causada porque no le llega la orden motora visceral parasimpática a las glándulas salivales submandibulares, sublinguales y menores. Por eso el paciente nota la saliva espesa y es porque es la saliva de las parótidas que siguen funcionando normal con el IX par.
Incremento de la intensidad de los síntomas a medida que transcurre el día. Desaparición de la sintomatología durante el proceso ingestamasticación y una vez conciliado el sueño.
"Desde que me levanto por la mañana hasta que me duermo por la noche, mi boca es un infierno, me escuece horrores, me duele, me quema, noto a veces como si tuviera la boca seca y otras en cambio mi saliva es espesa y pegajosa."
Creemos que durante la masticación y el sueño, porque son situaciones en las que "gobierna" el autónomo, desaparece el estado consciente voluntario por lo que dejamos de sentir las molestias de la quemazón, la sequedad y el sabor amargo o metálico.
En cuanto al patrón de dolor, muchos estudios han informado que la mayoría de las personas con SBA refiere un dolor ardiente que empieza a media mañana o al inicio de la tarde y alcanza intensidad máxima al final de la tarde y en las demás el dolor es constante a lo largo del día.
Las molestias en un 80% de los casos inicia después de una intervención dental, tal como empastes de muelas, placas totales o parciales, extracción de piezas dentales o puentes fijo o removibles.
Obsesión en relacionar el inicio del padecimiento, con algún tratamiento, bebida, alimento ingerido, tratamiento protésico o elementos protésicos, sin que pueda demostrarse una relación causa efecto. Intolerancia a las prótesis.
Naturalmente que el desencadenante de la sintomatología puede pasar por algún tratamiento dental o protésico, el tener la boca abierta durante mucho tiempo, por cambiar el lado de masticación, una prótesis que "roba" el espacio para moverse la mandíbula, etc., y se "despierta" el CAT.
Se relaciona con hábitos parafuncionales, bruxismo, movimientos compulsivos de la lengua, dolores de cabeza, trastornos del sueño, artralgias, DCM, dolor facial atípico, odontalgia atípica, irritabilidad, vértigo, palpitaciones, ojos secos, escozor vaginal. Estos síntomas acompañan normalmente el CAT.
Resumen de síntomas el SBA
Resumen de síntomas el SBA
- Disestesia. Ardor o quemazón en áreas de la mucosa bucal, que en orden de frecuencia serían punta y laterales de la lengua, paladar, pilares faríngeos, vertiente interna del labio inferior y mucosa del carrillo.
- Sensación de boca seca (xerostomía), que no siempre se corresponde con una reducción del volumen salival (hiposialia) y su flujo.
- Disestesia. Sensación de cuerpo extraño en el interior de la boca (asperezas, pellejos, hilos, acumulación de sustancias extrañas y pegajosas).
- Obsesión en relacionar el inicio del padecimiento con algún tratamiento, bebida, alimento ingerido, tratamiento protésico o elementos protésicos, sin que pueda demostrarse una relación causa efecto.
- Desaparición de la sintomatología durante el proceso ingesta masticación.
- Desaparición de la sintomatología una vez conciliado el sueño.
- Incremento de la intensidad de los síntomas a medida que transcurre el día.
- Alteración de las sensaciones gustativas.
Basándose en el patrón de dolor, Lamey y Lewis han propuesto clasificar el SBA en tres categorías, donde determinan de:
-Tipo I: aquél en el que el paciente no sufre los síntomas al despertar, pero que surgen y aumentan de intensidad progresivamente a lo largo del día, o sea, los síntomas son progresivos.
-Tipo II: los síntomas están presentes al despertar y persisten durante todo el día, de forma continua.
-Tipo III: los síntomas son intermitentes, no diariamente, habiendo días en el que el paciente se encuentra libre de cualquier síntoma.
Diagnóstico
Hacemos la misma anamnesis, exploración y comprobación del CAT.
Hacemos la misma anamnesis, exploración y comprobación del CAT.
Tratamiento
El CAT: evitar que se produzca o eliminar la causa siempre que podamos. Postural, oclusal, aparatología y cirugía.
Discusión
El orden de aparición es la punta, los laterales y primero un lado antes que el otro dependiendo del lado mas afectado de CAT, el paladar y por último el labio inferior. Quiere decir que lo mas sensible es la punta y lo menos el labio inferior. Al eliminar el CAT la quemazón desaparece en sentido inverso, empezando por el labio inferior, paladar, etc.
¿El Sjögren tendrá alguna relación con el CAT?
CASOS
Paciente: GGA, 64 años.
12/07/10. Antecedentes: Pitidos en el oído izquierdo. Ruidos al masticar, abrir y cerrar en la ATM derecha.
Mareos hace 6 meses. Tomó medicación y desaparecieron.
Migraña desde los 20 años, en el lado izquierdo. Empieza en la sien, ojo y se le irradia a toda la cabeza. Cada 10 días tiene la migraña y le aumenta al tomar chocolate, vino, stress.
Desde hace 2 meses nota ardor en labios inferiores, mas en el lado izquierdo, vestíbulo bucal y lengua.
Nota como una "vejigas, protuberancias, como bolitas" en los labios. Se nota muy incómodo.
Nota ardor en labios y lengua. Protuberancias en los labios más en el inferior, está muy incómodo.
Viene con un diagnóstico de "Boca ardiente".
Vista ortopantomografía.
Diagnóstico: SBA por CAT en el lado izquierdo.
Debe dormir del lado derecho y masticar lado izquierdo.
Hacer exodoncia del +8 y ostectomía lado izquierdo. Se encuentra mejor
16/07/10. Exodoncia 28 y ostectomía de la tuberosidad.
19/07/10. Bien del todo, ya no nota nada. Se extraña de no tener migrañas en 4 días y sobre todo porque comió chocolate y no le dió.
23/07/10. Quitados puntos.
05/10/10. Bien, ningún síntoma.
Paciente de CAT izquierdo por masticación derecha que desencadena el SBA.
La causa es el cordal superior izquierdo.
Se eliminó la causa: exodoncia del 28 y ostectomía de la tuberosidad maxilar izquierda.
Paciente: BPE, 59 años.
09/12/10. Motivo de consulta: quemazón en la lengua.
En febrero de 2.010 fui al dentista para hacer limpieza de dientes y a los dos días comienzo a notar en la punta de la lengua, en la mucosa y paladar una pequeña quemazón. Volví al dentista y le dije que parecía como si me hubiera puesto Vick Vaporú.
A partir de ese momento en que me dijo el dentista que no tenía nada, mi vida ha sido una visita tras otra a diferentes médicos.
Después la quemadura de la lengua me pasó al interior del labio inferior.
Las quemaduras eran cambiantes, no siempre todas a la vez.
Le va y viene, en los dos lados igual y al acostarse le desaparece. Desayuna y le empieza de nuevo.
Inestabilidad, mareos. No tiene dolor de cabeza.
La saliva un poco espesa. Picor en la garganta.
Llegué a visitar médicos en Austria y Alemania. Todos lo mismo. Me quitaban medicamentos, me decían síntomas de menopausia.
Diagnóstico: SBA por CAT.
Tratamiento: Poner Equi-Plano invertido y si no mejora hacer osteotomía y exodoncia de los 7+7. Medidas y articulación.
14/12/10. Puesto Equi-Plano, fotos
20/12/10. Bien. Estoy con el aparato y noto mejoría en el paladar, labio y lengua.
Le queda una sensación rara en el paladar. Le ha desaparecido el ardor en el labio y lengua.
07/01/11. Por teléfono: de lo que le quedaba, no síntomas en el paladar ni picor en la garganta. Ahora dice que nota la boca seca que antes no notaba.
26/01711. Solo le queda dolor en el lateral derecho de la lengua y punta. Nota que al hablar se empeora ya que estuvo una semana con gripe sin hablar y le desapareció todo. Nota que se le seca la boca al dormir porque dice que duerme con la boca abierta.
01/02/11. Dice que habló mucho por teléfono y se quitó el Equi-Plano. A los 15 minutos de acabar le empieza la quemazón empezando por la punta de la lengua y a continuación en el lateral derecho. Entonces se pone el Equi-Plano y le desaparece la quemazón en sentido inverso, primero del lateral derecho y después de la punta. Dice que por ahora en el lateral izquierdo de la lengua, el paladar y el labio inferior no ha repetido la quemazón. Tampoco nota la boca seca.
Antes de acostarse se quita el Equi-Plano ya que duerme sin él, se cepilla sus dientes y le empieza un poco de picor en la punta, se acuesta y entonces tarda unos 15-18 minutos en desaparecer la picazón de la punta de la lengua.
Nota mas espacio con la lengua en la zona del CAT en el lado izquierdo que en el lado derecho.
Que coma por su lado derecho, su lado habitual de masticación, a observa los cambios.
Paciente con CAT bilateral y SBA, + lado derecho.
CAT causado por las tuberosidades maxilares.
Tratamiento: Equi-Plano invertido. Suficiente para aumentar la dimensión vertical de la dentadura y evitar la protrusión mandibular, de tal forma que aumenta el espacio de separación entre las ramas mandibulares y las tuberosidades maxilares, por lo que deja de impactar y desaparece el CAT, y consecuentemente el SBA.
Paciente: RMM, 47 años.
Antecedentes: 09/05/07. CAT izquierdo por masticar por el lado derecho y por subluxación al hablar. Tratamiento: exodoncia del 28. Equi-Plano. No ha vuelto a tener dolor de cabeza. Dormir y comer lado derecho para curar la subluxación izquierda..
30/12/10. Desde hace 4 semanas tiene una sensación de calor y amargor en la boca. En la mucosa alrededor de los dientes inferiores y la comisura labial la nota "rasposa" y la saliva con sabor a metálico, como si chupara un metal. Nota dentera en los dientes incisivos inferiores.
Diagnóstico: SBA por CAT izquierdo.
Tratamiento: medidas y articulación para cambiar de Equi-Plano normal a invertido. Fotos.
Dormir boca arriba y masticar lado izquierdo.
04/01/11. Por teléfono: ya no tiene síntomas. Sigue durmiendo boca arriba y masticando lado izquierdo hasta el lunes dia 10 que le pongamos el Equi-Plano invertido.
11/01/11. No ha vuelto a tener SBA. Puesto Equi-Plano invertido.
18/01/11. Llamará para saber como ha ido.
Paciente con CAT bilateral por los cordales superiores incluidos.
Obsérvense la impronta en la mucosa producida por el CAT bilateral.
Tratamiento: exodoncia de los cordales superiores y Equi-Plano invertido para aumentar el espacio y evitar las protrusivas y el CAT, causa del SBA.
Paciente: VDM, 80 años.
25/01/11. Boca seca, tensión o estiramiento al final del velo del paladar, dificultad para tragar, sensación de tener aire en los ojos y los tiene que medio cerrar, molestias a veces en el labio inferior por dentro y por fuera también en la piel. Cuando lee en voz alta se cansa y le empieza a doler el paladar.
No cefaleas, no mareos, no parestesias, reflejos normal, dolor a la palpación del CAT bilateral.
Se le propone recorte de la prótesis y ostectomía bilateral.
Prótesis completa superior que le causa CAT bilateral en cierre, lateralidades y protrusiva.
Falta de espacio entre las ramas mandibulares y la prótesis a nivel vestibular posterior.
La causa es el tamaño de las tuberosidades maxilares a la que se suma la porción vestibular protésica quedando sin espacio para moverse la mandíbula a nivel de sus ramas e impactando en cierre, lateralidades, etc. dando lugar al CAT y al SBA.
Paciente: DDR, 61 años.
17/12/09. Motivo de consulta: No soporta las prótesis. La lengua y los labios le "escaldan".
Llevó una prótesis durante 20 años y no tuvo problemas hasta el 21 de septiembre que le pusieron una nueva y la llevó bien hasta el día siguiente que empezó con la sequedad. La saliva la nota ácida.
Tratada de hongos. Quiere eliminar la posibilidad de que pueda ser por la medicación que toma, que consulte con el cardiologo y que llame después.
Toma Koroprez y Orfidal
La medicación del cárdiologo no la ha dejado y se acordó que en enero empezó un tratamiento hormonal para la menopausia.
18/01/11. Consulta. Confirmar Síndrome de la Boca Ardiente y es positivo.
No soporta la prótesis superior. La lengua la nota con ardor. A veces se quita la prótesis superior y se le van los síntomas. Tiene que tener en la boca un chicle casi siempre para refrescarse.
Masticando se encuentra bien.
Amanece bien, no le despierta la sensación de malestar. Menos saliva. El sabor le ha disminuido. En el centro de la lengua donde le roza la prótesis también le " escalda".
Durante muchos años tuvo dolor de cabeza más por el lado derecho y hace dos años que no tiene dolor.
Fotos. Recortada prótesis superior, fotos, si mejora hacer ostectomía bilateral. Traer ortopanto.
Debe masticar dieta blanda y dormir hacia arriba. No masticar chicle.
21/01/11. Dice la hija que ha tenido cambios; nota más saliva, no tiene necesidad de tener el chicle, la lengua le "escalda " un poco menos. Hacer ostectomía cuando se decida.
02/02/11. Vino la hija a consulta y dice que la madre se está decidiendo a la ostectomía porque ha comprobado que con recortar la prótesis ha mejorado y está mucho mas tranquila.
Prótesis completa superior que hace CAT bilateral en cierre, lateralidades y protrusiva.
Grandes tuberosidades y se le suma la porción vestibular distal protésica disminuyendo el espacio entre las ramas mandibulares y el maxilar superior.
Prótesis superior marcada con la porción a recortar para disminuir el CAT a nivel de las tuberosidades.
Prótesis recortada para crear espacio entre las ramas mandibulares y la prótesis.






















Me parece muy interesante lo que cuenta. Ojalá pudiera curar a mi madre, que está desesperada
ResponderEliminarHola Anónimo, ¿tu madre ya se ha puesto en contacto con algún especialista del CAT? Puedes contactar directamente con el Dr. Larena a través del "Libro de Visitas" de este blog y contar tu caso o bien puedes ver en "Clínicas Asociadas al Tratamiento de Cefaleas" si hay un especialista en tu ciudad.
ResponderEliminarMucha suerte!
Hola, alguien conoce o a que tipo de doctor puedo recurrir en Chile.
ResponderEliminarDesde ya muchas gracias.
Hace mas de tres años que padezco dolores bastante raros en mi paladar blando(ardor) y oidos
Hola Anónimo, perdona por no contestar antes, problemas tecnicos...
EliminarNo conocemos a nadie en Chile, le recomiendo que le pase la información que contiene esta página a dentistas o médicos que les interese leer y comprobar todo lo que exponemos.
Mucha suerte.
Saludos desde Chile.
EliminarAlgún médico que me recomienden
Buenas noches,
ResponderEliminarTengo 35 años y padezco SBA desde hace casi 3. He pasado por varios médicos y tratamientos sin ningún resultado.
Resido en Barcelona. Quisiera saber si hay aquí alguna clínica asociada donde pueda tratarme. Muchs gracias.
Hola yo tambien tengo sba y tu misma edad, me gustaria saber si has encontrado remedio yo llevo ya 2 años casi y estoy desesperada, buscame en facebook ana belen arnaldos luna de murcia, gracias.
EliminarEste comentario ha sido eliminado por un administrador del blog.
ResponderEliminarPido encarecidamente AYUDA PARA MI MADRE, aquejada de un SBA terrible que empeora. Hace 7 años le cambiaron las prótesis dentales, pero está cada día peor. TEmo que su avanzada edad sea un motivo para que un médico no la trate como debe, pero temo sobre todo que mi madre muera en la desesperación absoluta con la que vivimos por este problema. SOLICITO UNA AYUDA, UN ALIVIO, aunque no hubiera solución, por lo menos, un alivio para sobrellevarlo, POR FAVOR. ffbazan@gmail.com
ResponderEliminarVivimos en Valladolid, España
ResponderEliminarPerdón, pero la desesperación es inmensa ... necesitamos ayuda, saber quién es un verdadero especialista en SBA, por favor, que alguien nos ayude ...
ResponderEliminarHola Fran, le enviaremos un email.
ResponderEliminarHola,tengo 35 años y padezco sba,me gustaria probar el tratamiento,vivo en leon.
ResponderEliminartengo que desplazarme alli,o hay cerca alguien que me pueda ayudar.
un saludo
veronica Martinez
Hola Veronica, la especialista más cercana de Leon se encuentra en Betanzos, (Galicia). Le facilito los datos de contacto:
EliminarDra. Isabel González Esmorís
Betanzos (A Coruña). Tel: 981 772 359
Email: sisadentalclinica@yahoo.es
hola necesito con urgencia saber si hay alguna clinica en venezuela para llevar a mi mama que esta desesperada ya hemos paseado por varios medicos y especialistas y nada quiero saber donde puedo recurrir en mi paiz para tratar el cat y sba
ResponderEliminarHola, desgraciadamente no conocemos a nadie en su tierra. si lo desea podemos valorar su caso a través de nuestra consulta virtual:
Eliminarhttp://consultadrlarena.blogspot.com.es/
Si encuentra a un medico o odontólogo en venezuela que le interese el CAT no dude en proporcionarle nuestros datos de contacto.
Hola soy de Alicante. Mi madre padece el sindrome de boca ardiente a raiz de ponerle implantes , hace unos 4 años. Está muy desesperada pues ha ido a varios dentistas y no mejora. Por favor necesito saber si por Alicante o alrededores algún sitio especializado en este Sindrome al q poder acudir pues no conocemos ninguno. O el Dr. JoséLarena donde tiene la consulta? . Muchas gracias.
ResponderEliminarEste comentario ha sido eliminado por un administrador del blog.
EliminarHola soy Estefania de cadiz tengo 36 años empeze el año pasado con un dolor en el lado derecho de la boca y s la misma vez con SBA, acudí al dentista y me hablo del cat y además me recomendó que leyera la pagina del Dr larena,confíe mucho en el porque estaba desesperada y este me quito la muela del juicio y me hizo hueco en el maxilar,a partir de ahí fue una pesadilla,todo fue a peor con dolores de tenerme a que ir a urgencias a que me pusieran adolonta en gotero, ya hace casi un año y el dolor va desapareciendo un poco pero el zumbido en el oído derecho,los mareos y sobre todo el SBA me esta volviendo loca,estoy hasta en tratamiento psiquiátrico, por favor alguien me puede ayudar, no puedo mas. Gracias
ResponderEliminarHola Estefanía.
EliminarEl tratamiento del CAT, la mayoría de las veces, no es quitar la muela y ya está. Si lees en qué consiste verás que además conlleva medidas posturales, ajustes oclusales y aparatología.
Entiendo que no has hecho el tratamiento completo. Creo que se lo puedes comentar al dentista de la extracción para que ponerte de acuerdo y ver cómo te ayuda a solucionar tu problema.
Normalmente después de la extracción no se tiene que sentir peor nadie, al contrario, así que probablemente tengas alguna complicación. Habría que explorarte para saber qué.
Manténte en contacto para saber cómo vas.
Saludos dr jlarena
Hola Dr.larena gracias por contestarme soy estefania,me podrías decir donde puedo ir para tratarme que no sea a este dentista que fui,no me fió,la forma en que me ahuecó el maxilar ahora no lo veo normal de ahí el empeoramiento de la enfermedad,gracias.zona de cadiz
EliminarBuenos días Estefania, facilite un email o escriba a consultadrjlarena@gmail.com. Saludos.
EliminarHola Estefania, aunque ya hace tiempo de tu mensaje...Me gustaría que me dijeras ¿Qué tal estás? ¿fuiste a ese otro dentista?
EliminarGracias , un saludo
Hola buenas noches. Me llamo Rocio... Mi padre padece SBA desde una operación por obstrucción intestinal tras la cual recibió tratamientos variados por complicaciones y uno de ellos fue la somatoestatina. Mi padre lleva mas de 30 años con unos implantes que empiezan a deteriorarse y durante estos 10 últimos años ha sufrido flemones frecuentes. Estamos desesperados... Vivimos en Malaga pero yo le llevo donde haga falta. Por favor pongase en contacto conmigo lo antes posible. Muchas gracias
ResponderEliminarBuenos días Rocio, nos pondremos en contacto vía email.
EliminarHola. Vivo en Reus. Desde hace dos años tengo SBA. Pero ahora lo que más me preocupa es que una sensación de taponamiento en el oido izquierdo y el otorrino me ha dicho que no tengo nada. ¿Podrian ser causado por el CAT?
ResponderEliminarHola, el taponamiento de oídos y el SBA son síntomas que pueden ser causados por CAT. Puede leer los signos y síntomas del CAT en este enlace: http://drlarenaavellaneda.blogspot.com.es/p/dolor.html. Saludos.
EliminarGracias por su respuesta. ¿Habria algún lugar cerca de Reus (Tarragona) donde hubiera algún especialista que me pudiera examinar?
EliminarEste comentario ha sido eliminado por un administrador del blog.
EliminarHola Dr., Hace dos años que sufro taponamiento del oido derecho. El izquiero sí que se me abre al cambiar la presion pero el derecho no. Me produce dolor de cabeza, mareos y alguna cosa mas. El otorrino me hizo una resonancia y me dijo que estaba todo bien y me mando al dentista. Mi dentista me dijo que era papel del maxilofacial y estoy esperando que me llamen para ir a consulta. Pero es que hace 1 mes que tengo la boca, lengua y labios quemandome todo el dia y no se lo que es. ¿Puede haber alguna relacion entre esto? ¿que cree Vd que tengo? Gracias por su respuesta
ResponderEliminarHola, sí, todos los síntomas que describe pueden estar causados por un traumatismo en la cara interna de las rama(s) mandibulare(s): CAT. Informe a su dentista de la existencia de esta patología.
Eliminar¿al dentista o al maxilofacial? Mi dentista me dijo que era el maxilofacial. ¿Hay algun tratamiento? ¿tengo que estar asi hasta que dentro de "x" meses me visite el maxilofacial?
EliminarAl dentista, que somos los que tratamos el Compromiso Articular Temporomandibular. Si lo desea podemos realizarle una valoración, o acuda a una de las Clínicas Asociadas que aparecen en esta pagina. Puede contactar con nosotros enviando un email a consultadrjlarena@gmail.com.
EliminarEliminar
Hola Dr. Mi madre sufre desde hace 2 años un SBA. Empieza a estar desesperada ya que la sensación de quemazón a aumentado y llega a ser insoportable. Los síntomas coinciden tal cual lo explica en la web. Sabor metálico, quemazón en lengua y paladar, intolerancia a ciertos alimentos, cuando duerme cesa el dolor (1 hora en desaparecer el dolor) y comienza cuando se levanta y no para durante todo el día.
ResponderEliminarDespués de probar varios medicamentos sin exito, el último recurso que le van a dar es el Laser (según he leido reducirá el dolor un 48%).
Vivimos en Cantábria, pero muy cerca de Bilbao (Pais Vasco), Habría algún centro cercano, especializado en CAT de plena confianza?.
Un saludo.
Este comentario ha sido eliminado por un administrador del blog.
EliminarEstimado Doctor,
ResponderEliminarMi madre tiene SBA, mareos, perdida de audición, ruidos en el oído, desgaste de mandíbulas y grietas en las encías. Hemos acudido a varios dentistas sin que le hayan resuelto el problema. Esta mañana he tenido la suerte de leer su estudio y de ver varios testimonios de sus pacientes. Es por ello que mi madre y yo estamos seguas que tiene TAC. Por favor nos podría facilitar un contacto de algún especialista en Bilbao o cerca del País Vasco? Si fuera posible concertar una cita con usted podría ser en Madrid??? Mi madre esta desesperada, ha cambiado su vida por completo.
Muchas gracias por su atención y un saludo.
Este comentario ha sido eliminado por un administrador del blog.
EliminarHola vivo en Teruel, tengo 36 años mujer y llevo desde el 1 de Noviembre sufriendo esta pesadilla que para colmo se me ha complicado con dolor de oído. Por favor donde tengo que acudir para que me visite el Dr. Larena. No llevo prótesis de ningún tipo ni he tenido ningún tratamiento odontológico reciente que pudiera ser la causa...
ResponderEliminarHola Anónimo, el Dr. Larena pasa consulta en Las Palmas, aunque este fin de semana estará en Castellón realizando un curso. Si desea acudir este viernes o sábado mándenos un email a clinicasasociadascat@gmail.com.
EliminarLas Clínicas más cercanas que le podemos aconsejar se encuentran en Castellón y Valencia. Visite el listado en este blog "Clinicas Asociadas para el Tratamiento de Cefaleas y Mareos".
Saludos.
Hola soy javier tengo 26 años de catamarca argentina. Desde el primero de septiembre al morder un pan cambio mi vida. Ya venia con una contractura cervical previa y este suceso del pan senti dos pinchasos en mis atm tremendo, a pesar que me dejo de doler a los 10 minutos, mi vision nunca se recupero. Perdi los reflejos me cuesta focalizar rapido como antes, tengo dias con fotofobia otros dias con mareos, ojos secos, al despertarme siento mi mandibula muy rigida, sensacion de sinusitis, taponamiento, mi cerebro esta encapslado, mis contracturas de cuello se fueron pero todo lo demas perciste y estoy muy desesperado .. en mi ciudad no hay ningun especialista . Mi dentista me diagnostico transtorno de atm pero no siento dolor asi que no me convence en la radiografia me salio condilos que se adelantan ligeramente en boca abierta sin desgaste oseo ni articular .. otro problema.. estoy desesperado no puedo vivir asi esta disminucion visual como si estuviera con la presion baja todo el tiempo me esta matando. Sufro insomnio por que se me amortigua el cuerpo.... hay algun especialista en argentina ? O algun pais cercano ? Tengo dinero ahorrado y no dudo en gastarlo con tal de volver a ser normal . Mi mail es javier_barrionuevo88@hotmail .com .. que alguien me de una solucion
EliminarHola Javier, le hemos contestado vía email.
EliminarHola Dr.
ResponderEliminarMe han diagnosticado SBA. Llevo cuatro meses padeciendo ésta enfermedad y me la están tratando con Lyrica (75 mg) y Deflazacort. Sinceramente no noto mejoría con esta medicación. He estado buscando en internet algún especialista que trate éste síndrome en la Provincia de Zaragoza pero no lo encuentro.
Estoy bastante desesperada ya que los síntomas sólo desaparecen cuando duermo y necesito algo que me cure o que me haga mejorar. Le estaría muy agradecida si ,e pudiera recomendar algún médico que trate SBA y que esté lo más cerca posible de Zaragoza. Le dejo mi dirección de corro electrónico, patriv1953@gmail.com
Muchas gracias!!!
Hola, la Clínica Asociada mas cercana a usted se encuentra en Logroño. Visite el apartado de las Clínicas Asociadas y encontrará el tlf de Susana Siemens. Saludos.
EliminarMuchas gracias por la información!!!.
EliminarDr Larena mi nombre es Eugenia de Argentina, yo le envié mi consulta por mail y recibi el diagnostico de posible CAT bilateral, como me gustaria que más gente supiera de usted, y que mas personas pudieran comprender las terribles consecuencias que pueden traer a la salud este tipo de trastornos, el vértigo es desesperante, todo el mundo me termina hablando de un psicólogo, ojalá conocieran acá lo que usted hace, ni siquiera atinan a escuchar, me es imposible viajar, pero por favor, haga el intento de que alguien en la argentina lo conosca, ya que a mi nadie me escucha. Un abrazo enorme!
ResponderEliminarHola Eugenia, estamos en ello. Sabemos que es muy difícil que alguien la escuche. A nosotros tampoco nos escuchan... Un saludo.
EliminarHola. Tengo 30 años y desde hace 3 tengo un dolor constante en la zona inferior derecha de la mandíbula que me irradia hacia la zona derecha del cuello. He ido a distintos especialistas sin que hayan dado con la solución, la ultima visita fue a un reconocido foniatra en Cádiz y éste me comento la posibilidad de que fuese CAT,desde entonces he leído sobre el tema y he observado que duermo siempre sobre el lado derecho y con la mandíbula abierta "echada hacia adelante",tengo un crujido en ambos oidos,sin embargo,no siento dolor de cabeza ni nada más. ¿que deberia hacer? ¿que opina de mi caso?. He gastado mucho tiempo y dinero en visitar muchos especialistas y me gustaría saber su opinión antes de seguir. Un saludo
ResponderEliminarHola. Tengo 30 años y desde hace 3 tengo un dolor constante en la zona inferior derecha de la mandíbula que me irradia hacia la zona derecha del cuello. He ido a distintos especialistas sin que hayan dado con la solución, la ultima visita fue a un reconocido foniatra en Cádiz y éste me comento la posibilidad de que fuese CAT,desde entonces he leído sobre el tema y he observado que duermo siempre sobre el lado derecho y con la mandíbula abierta "echada hacia adelante",tengo un crujido en ambos oidos,sin embargo,no siento dolor de cabeza ni nada más. ¿que deberia hacer? ¿que opina de mi caso?. He gastado mucho tiempo y dinero en visitar muchos especialistas y me gustaría saber su opinión antes de seguir. Un saludo
ResponderEliminarHola doctor mi consulta es para mi mujer somos de Asturias cual seria la clínica más próxima a nuestra provincia
ResponderEliminarHola
ResponderEliminarInteresantisimo y una fuente de esperanza. Soy un mexicanao de 54 años y recien empece a padecer SBA despues de una intervencion sumamente dificil y larga. Mi problema, ademas de el dolor, incomodidad y desesperacion es que mi profesion es Consultor en Marketing y me gano la vida dando conferencias, consultorias y con una seccion eln la radio. Asi que el SBA se ha vuelto un impedimento para ejercer mi profesion.
Conocen a algun especialista en Mexico para tratar el SBA/CAT? Un saludo desde estas latitude.
Disculpe Sr Rodolfo Rubio, usted encontró algún especialista en México para tratar el SABA/CAT?
EliminarHola buenas tardes,
ResponderEliminarVivo en Madrid , y hace 3 meses que estoy sufriendo de una neuralgía del glossofaringeo, y creo que la culpa es una corona grande que me pusieron hace 2 años en una muela del mismo lado, el lado derecho.
me puede porfavor facilitarme una direccion especializada en este tema en Madrid.
Un saludo, Gracias
Necesito ayuda acerca d esto no estoy diagnosticado d sba,pero llevo un año con estos sintomas frantinezsenso@gmail.com pongaseen contacto conmigo o recomiendeme un especialista en madrid gracias
ResponderEliminarHola, mi nombre es Esther. Mi padre tiene 77 años y lleva casi 12 con la sensación de que la boca le arde. Hace un año un dentista le diagnosticó SBA y ha probado distintos tratamientos sin alivio alguno y asi desde que se levanta hasta que se acuesta. Su desesperación es tal que no deja de decir que se quiere morir. Le escribo con los ojos llenos de lágrimas totalmente desesperada. Somos de Valladolid pero iríamos donde fuera necesario si hubiera la más mínima posibilidad de encontrar algo de alivio. Gracias de antemano y un cordial saludo.
ResponderEliminarEsther, ¿ya ha contactado con nosotros?
EliminarHola. Me gustaría saber si en Tenerife hay algún especialista
ResponderEliminarEste comentario ha sido eliminado por un administrador del blog.
ResponderEliminarBuenas noches, tengo a mi padre padeciendo el síndrome de boca ardiente desde hace 12 años. Estamos desesperados, ayudenmos por favor. Vivimos en Valladolid pero dispuestos a ir donde sea.Gracias y un cordial saludo.
ResponderEliminarHola, envíenos un email a consultadrjlarena@gmail.com
EliminarBuenas tardes, me podrian informar si hay en Murcia o lo más cercano a ella especialista para éste sindrome. Llevó seis años con neuropatias en cara, lado izquierdo y menor afectación en lado derecho, me afecta también a los musculos respiratorios, brazo izquierdo, ojo, nariz, boca, perdida de equilibrio, oidos, contracturas pomulos, chasquidos mandibula, se me tuerce boca hacia la izquierda la lengua se va a la derecha al sacarla, cuándo me levanto por la mañana estoy destrozada. He probado muchisimas ferulas al acostumbrarme empeoró, fisios, quiropracticos, osteopatas, terapia neural. Tengo 46 años mi nombre es Rosalía y estoy desesperada. Espero me contesten y se lo agradezco de antemano. Saludos.
ResponderEliminarHola Rosalia, escriba un email a consultadrjlarena@gmail.com para poder comunicarnos. Trate de dormir boca arriba y compruebe si empieza despertarse mejor.
EliminarVivo en Córdoba y tengo los mismos síntomas. La sintomatología apareció al poner un implante que ya se ha retirado y hacer una limpieza muy agresiva. Llevo dos años recorriendo maxilofaciales y dentistas y cada uno me da un diagnóstico y tratamiento distinto. Cada vez voy peor. La lengua se ha engrosado y todos los dientes y muelas le clavan. Además de los síntomas aquí descritos. Soy maestra y no puedo explicar. A qué consulta debo dirigirme que esté cercana a Córdoba? Gracias.
ResponderEliminarVivo en Córdoba y tengo los mismos síntomas. La sintomatología apareció al poner un implante que ya se ha retirado y hacer una limpieza muy agresiva. Llevo dos años recorriendo maxilofaciales y dentistas y cada uno me da un diagnóstico y tratamiento distinto. Cada vez voy peor. La lengua se ha engrosado y todos los dientes y muelas le clavan. Además de los síntomas aquí descritos. Soy maestra y no puedo explicar. A qué consulta debo dirigirme que esté cercana a Córdoba? Gracias.
ResponderEliminarVivo en Córdoba y tengo los mismos síntomas. La sintomatología apareció al poner un implante que ya se ha retirado y hacer una limpieza muy agresiva. Llevo dos años recorriendo maxilofaciales y dentistas y cada uno me da un diagnóstico y tratamiento distinto. Cada vez voy peor. La lengua se ha engrosado y todos los dientes y muelas le clavan. Además de los síntomas aquí descritos. Soy maestra y no puedo explicar. A qué consulta debo dirigirme que esté cercana a Córdoba? Gracias.
ResponderEliminarHola, tengo una amiga que padece ATM y su situación es muy dolorosa. Dónde encontraría el mejor especialista en León o cerca? Muchas gracias
ResponderEliminarJuanjo
Hola y buenas tardes, mi nombre es Joana tengo 54 años y vivo en Barcelona, llevo 8 meses con estos sintomas:
ResponderEliminarQuemor en la zona de la lengua, en la mucosa interior del labio y labio exterior pegajoso, tambien noto mucha irritacion en la garganta y cuello. Por favor agradeceria que alguien me ayude, Cuando me levanto por la mañana la intensidad del malestar que tengo ha bajado, pero a medida que avanza el dia va aumentando, mas de una madrugada he ido al hospital porque no podia soportar el quemazon, pero los medicos al comprobar la boca en perfecto estado me envian para casa. Tambien queria comentar que alguna noche me he despertado con la lengua totalmente dormida y deshidratada, creo que es por dormir boca arriba con la boca abierta y desde los 11 años llevo una protesis dental. Por favor donde podria ir para que me ayudaran a remediar este problema.
Gracias.
Joana
Hola Joana, envíanos un email a consultadrjlarena@gmail.com
EliminarHola Dr.Soy de Puerto Rico y llevo ya 3 meses padeciendo de estos sintomas,todo empezó dias despues de que me realizaran una Endoscopia,pense q tal vez era infeccion de garganta o q,me habian lastimado cuando hicieron la endiscopia,pero ya van tres meses,he acudido a mi doctor y a otros doctores incluso a un otorinolaringologo y NO me encuentran nada,es una quemazón en el lateral izquierdo trasero de mi lengua,q comienza como a 2 horas de levantarme y se pone peor a medida q pasa el dia,en otros dias siento la quemazón/ardor en la punta de la lengua y otros dias en toda la,lengua y mi oido izquierdo como tapado y cuando es solo en el lado trasero lateral de la lengua siento como molestia y dolor en ese lado de la amigdala,aveces siento como sencacion de arenillas en la lengua,solo mejora cuando duermo y cuando estoy comiendo,esto es un infierno!!!Dr.j Larena cree usted q mis sintomas sean el SBA/CAT???no sabe cuanto le agradeceria algun consejo o ayuda!!����Esto me esta volviendo loca y todo el tiempo con muchos nervios y gran ansiedad!!Ayudeme doctor,Soy de Puerto Rico y No se a que otro medico acudir,el lunes tengo cita en mi dentista a ver q me dice!!mil Gracias Dr.j Larena en lo q,me pueda ayudar!!Dios le bendiga!!
ResponderEliminarHola, puede realizar su consulta con el Dr. Larena escribiendo a consultadrjlarena@gmail.com.
EliminarEl aparición del SBA suele aparecer después de una intervención en la boca, la endoscopia entra dentro de dichas intervención, al tener la boca abierta durante un largo periodo desencadenado los síntomas del SBA y CAT. Saludos.
Una endoscopia dura aproximádamente unos 5 minutos, 10 minutos máximo...¿Cree que es tiempo suficiente como para desencadenar un CAT/SBA?
EliminarHola Dr. Vivo en Madrid y llevo un año con el problema de boca ardiente ¿Me podría decir si hay alguna clínica especailizada en Madrid o alrededores?.
ResponderEliminarMuchísimas gracias por compartir sus conocimientos.
POR FAVOR QUIEN PUEDE AYUDARNOS PARA ATENDER ESTE TRASTORNO EN MÉXICO. REALMENTE NADIE NOS HA PODIDO INDICAR SI EXISTE UN ESPECIALISTA EN ESTE PADECIMIENTO. AGRADEZCO SU AYUDA E INFORMACIÓN.
ResponderEliminarHola Mau, facilítenos un email o escriba a consultadrjlarena@gmail.com.
EliminarEncontraste algo vivo en mexico tambien.
EliminarHola Dr. Vivo en Ponferrada y tengo SBA desde hace 6 meses, Vivo en Ponferrada ( león), podía decirme de algún especialista en CAT en esta zona?. Muchas Gracias.
ResponderEliminarHola, contacte con la odontologa Isabel González Esmoris, está en Betanzos, a unos 155 km a de donde está usted.
Eliminarhola hay algun especialista por Tarragona o Barcelona? gracias un abrazo
ResponderEliminarMe podrían indicar algún especialista de este síndrome en Sevilla??. Gracias
ResponderEliminarr. Larena, vivo en Colombia, tengo 35 años, me encuentro desesperada porque padezco hace 12 años del síndrome de la lengua ardiente, aquí en Colombia han visto mi caso varios especialistas, como Neurólogos, otorrino, Psicólogo y hasta psiquiatra, me han hecho varios exámenes como resonancias magnéticas de cerebro, electromiografía de lengua, exámenes de sangre para revisar algún deficit de vitaminas, y todo ha salido normal, los Neurólogos me han tratado con varios medicamentos que usan para la epilepsia y otros antidepresivos y nada ha funcionado, me han hecho tratamientos con neurobion, vitamina B y no funciona, en este momento mi vida está derrumbada a causa del ardor y quemonazo que siento en la lengua, desde que me levanto hasta que me acuesto, en las noches es peor, quisiera dormir y no volver a levantarme para no tener que sentir esto tan terrible. No pensé que se pudiera tratar de un tema de odontología, además ninguno de los especialistas que me han visto estos 12 años me han sugerido que se trate de un tema de odontología CAT, un amigo que conoce mi problema investigando consiguió esta información y me indicó que ese podría ser mi problema. El próximo jueves tengo cita en el servicio de salud que tengo acá en Colombia con una Odontologa Rehabilitadora Oral para contarle mi problema. Además de que siento que la lengua se me quema, mi saliva es demasiado espesa y es difícil de tragar, hay momentos en que tengo un movimiento involuntario en la mandíbula, como si masticara muy duro solo una vez, también me duele mucho el lado derecho de la mandibula y al palparme siento una pequeña masa que no tengo en el lado izquierdo. la verdad son 12 años que he perdido de mi vida a raíz de este problema y no me han podido dar la solución, lo único que me dicen los médicos es que debo acostumbrarme a convivir con esto y que agradezca que no es dolor sino un quemonazo, un quemonazo en la lengua que me ha dañado por completo mi calidad de vida, la verdad no me provoca nada, ya nada me trae felicidad desde hace 12 años, trabajo porque tengo que sostener a mi hija de 10 años, pero por mi fuera sería mejor que Dios se acordara de mí. Por favor Dr. me puede indicar si en Colombia hay algún especialista asociado que me pueda ayudar? o si debo viajar hasta su Clínica yo lo hago, o si puede atender mi caso por consulta virtual, por favor necesito su ayuda, es mi única salida.
ResponderEliminarY si por favor me indica que exámenes debo realizarme para investigar mi caso, mil gracias.
Soy de Jerez, en Cádiz estoy muy preocupada y molesta llevo 1 mes con los sintomas y el diagnóstico de SBA.
ResponderEliminarPorfavor algún especialista reconocido que me recomiende?
Porfavor. Muchas gracias.
Hola, soy Sonia y llevo tres años con estos sintomas. Me habian hablado de artritis temporomandibular pero nunca de el cat. Me puedes decir donde encontrar una clinica lo mas cercano a donde yo vivo?? Soy de huesca. Muchas gracias
ResponderEliminarHola, llevo tres meses con los sintomas de SBA y estoy desesperada. Me gustaria saber si hay algún especialista en ello en Cantabria. Gracias.
ResponderEliminarTengo el SBA desde hace 20 años. Vivo en Madrid. Me gustaría contactar con el doctor Pareja. Gracias.
ResponderEliminarHola, mi madre con casi 80 años, padece de sba desde hace 3 años y tras probar muchos tratamientos, no hay nada que la alivie. Ha perdido mucho peso y las ganas de vivir .Por favor, ayuda. Mi mail es covafgm@gmail.com. Muchas gracias de antemano y un saludo.
ResponderEliminarBuenas tardes. Mi madre con casi 80 años está exactamente igual que el caso anterior. La están tratando incluso en la unidad del dolor pero de momento no han dado con nada que la alivie. Vivimos en Cantabria y si alguien nos puede informar de que lo padezca o lo haya padecido y le hayan tratado en la zona. Llevo más de 2 años con dolores insoportables que le empezaron por los labios. Gracias
ResponderEliminarHola:
ResponderEliminarMe llamo Paco y tengo 51 años, padezco de SBA desde el 16/02/2012 y me he hecho infinidad de pruebas, y nadie ha dado con la solución.
Como decir todas las pruebas que me hecho sería muy largo, acabo antes diciendo lo poco que me falta:
- Ir al reumatólogo a ver si tengo Sjogren
- Ir a un psicólogo
- Ir al psiquiatra
- Volver a la consulta del Doctor Fuset en Valencia que es el único que conozco que se dedica única y exclusivamente al SBA.
Desde verano de 2015 tengo un tratamiento que está haciendo mi día a día, bastante más llevadero.
Por si a alguien le sirve de ayuda:
- El único médico que me ha ayudado con este asunto hasta ahora me dijo que tenía el hipotálamo mal regulado y su tratamiento fue el de una pastilla de 50mg de Alprazolam por la mañana y otra por la noche. Nunca tomar más de esta cantidad. Si algún día tengo una crisis me permite tomarme una pastilla de más ese día, pero ya está. Si algún día tengo que tomarme otra pastilla de más tengo que esperar como mínimo un mes.
- Este médico me dijo que no había ningún medicamento más que pudiera ayudar ni siquiera nada de herbolario, lo único es dormir mínimo 8 horas seguidas al día.
A este tratamiento le he unido lo siguiente y que he averiguado por mi mismo:
- Lavarme los dientes con una pasta llamada Xeros. (La llevo conmigo a todas partes)
- No comer y sobre todo beber alimentos muy dulces.
- Lo mismo con lo salado.
- Es muy importante no tomar ningún medicamento cuyos efectos secundarios sea la sequedad bucal, en especial antidepresivos, etc,... antes del verano de 2015, fui al neurólogo el cuál me mandó la Lyrica y casi me muero de lo que me ardía todo. Lo pasé fatal.
Haciendo todo esto, tengo una calidad de vida bastante aceptable, del verano de 2012 al verano de 2015 pasé por un infierno, pues mi ardor bucal, nariz y ojos era igual de intenso a cualquier hora del día y cada dos semanas tenía episodios de dos días con un ardor aún más intenso. Además, todas las semanas me salían llagas en la boca. Afortunadamente, ya todo eso pasó y ahora me arde la boca ligeramente, y solamente empeoro cuando no sigo alguna de las reglas que puse anteriormente.
Aún así, sigo buscando otro remedio porque el Alprazolam, al ser un ansiolítico y yo no padecer de ansiedad me dificulta mi día a día, y tengo que hacer un esfuerzo descomunal para animarme y vivir, pero aún así, lo hago.
Mucho ánimo al que padezca este martirio.
Saludos.
Hola Doctor, soy mujer , tengo 43 años y desde el 16/5/2016 , despues de un episodio de reflujo la lengua me arde. Despues de deambular con varios especialistas desde mayo 2016 me trata el Dr. Chimenos de barcelona, su tratamiento ha sido dejar la medicación con ansiolíticos , deporte y limpieza con xeros y colutorios especificos para sba, ademas duermo con una férula para bruxismo que unto con gel gum hydral. He llegado a estar algun dia libre de sintomas pero por desgracia vuelve la pesadilla. Ruego se ponga en contacto conmigo para que le pueda enviar mi radiografia dental o me pueda recomendar algun especialista de mi zona, vivo en barcelona. Muchas gracias
ResponderEliminarBuenas noches, por favor quisiera información de como hacer consulta por CAT con el Dr Larena, si es posible en Madrid, gracias
ResponderEliminarHola algún lugar en mexico guadalajara que trate SBA por favor ??? Dr. Larena
ResponderEliminarDr. Hace 7 meses tengo un gusto amargo en la boca que dura todo el día. En períodos de estres es mas fuerte y me dan hasta nauseas. Todo empezó por una inyeccion de dexometasona con diclofenac. Tengo miedo que sea SBA ya que siento calor en los labios, pero no me arden, solo siento como la boca seca y caliente. ¿ que puede ser?
ResponderEliminarHola, soy Yuleth de 28 años de edad, hace 3 días empecé a sentir mi boca irritada, especificamente la punta de la lengua, una llaga en el paladar y una sensación de picazón o ardor al momento de consumir alimentos, siento la boca un poco seca y la lengua algo inflamada en la parte posterior, una textura rugosa alrededor de los labios y molestias al ingerir alimentos algo ácidos, empecé a buscar información y me encontré con este síndrome de boca ardiente, me asusta pensar y leer todos los casos y las terribles consecuencias de padecer este mal, cabe resaltar que hace más o menos un mes fui al odontólogo y me realizó limpieza bucal donde además me colocó un amalgama, por lo tanto le agradecería enormemente su atención y si es el caso dado puediese informarme si existe algún odontólogo o especialista en Colombia que logré tratar este padecimiento, le agradecería su pronta respuesta.
ResponderEliminarBuena tarde soy de Guatemala Doctor necesito su ayuda como puedo tener una consulta con usted por estas vias por SBA por favor ayudeme dejo mi correo aracelyvasquezm@gmail.com
ResponderEliminarHola.
ResponderEliminarAl administrador de este blog.
Sería muy interesante que pasaras por el blog y limpiaras de mensajes de prestamistas y curanderos el mismo....
Gracias
Alguien podría decirme una clínica en Sevilla para tratar el SBA? Gracias
ResponderEliminarBuenas noches soy de México y padezco el SBA desde hace algunos meses de zumbido en oidos, me podría decir si aquí en México hay quien me pueda ayudar o si fl Dr. Larena me puede ayudar, tengo 61 años dejó mi correo electrónico, Jlislasv09@gmail.com muchas gracia por du atención
ResponderEliminarHola me llamo Carmen
ResponderEliminarSoy de Granada 57 años
Tengo sba hace dos años y yo lo t
Relaciono con la alimentacion, con aditivos en alimentos...
Tb lo relaciino con in tolerancias, con un intestino permeable, con deficit de DAO,con sindrome de sensibilidad central ...,,,
Esto es complicado y desesperante
Lo tengo todo el dia excwpto cuamdo duermo.
Conoceis en Granada a algun eapecialista que me pueda ayudar?
He pasado por dentista, neurologo, otorrino y un largo caminar, incluida la medicina biologica
Gracias
Dr. El cat y el sindrome de sjogren estan relacionados o no? Gracias
ResponderEliminarSaludos, Mi padre de 70 años esta sufriendo mucho con el sindrome de la boca ardiente, lo habia padecido un tiempo atras y luego comenzo a usar vitamina B12 y se mejoro, pero hace un mes le hicieron el procedimiento para un implante de uns muela y comenzo con el labio inferior ardiente y no encontramos ninguna solucion y estamos desesperados, el esta sufriendo mucho y ningun medico le ha podido ayudar
ResponderEliminarEste comentario ha sido eliminado por un administrador del blog.
ResponderEliminarHola buenos días,sufro de SBA desde hace un año,he pasado por todos los especialistas, además de medicina alternativa, y no me dan ninguna solución,vivo en Madrid,estoy desesperada no se donde acudir,si saben de algún sitio donde puedo acudir que me puedan dar solución.gracias
ResponderEliminarHola SUFRO SBA vivo en torre del mar Malaga y hoy mismo he ido a Cordoba para decirle a mi dentista que tengo confiaba en el que lo dejaba . Estoy desesperada y angustiada porque tenía mucha fé en ponerme bien lo nesecito . Tengo distimia y me a salido esta enfermedad SBA hace cinco o seis años después de una limpieza bocal . Esto me provoca mucha ansiedad lo que me pone peor en mis depresiones .este doctor me a quitado dos muelas de juicio y una más para que tenga espacio en el lado izquierdo despues me puso un aparato yo fui a mis revisiones y no tengo ninguna mejoría. Nada me siento igual pero con meno dinero puesto que he pagado el tratamiento y el gasto de ir de torre del mar a cordoba .ya solo me queda suplicar pedir llorando si hace falta que me ayuden alguien que tenga buen corazón. Porque no puedo más con esto más mis recaídas de depresión. Es co o un pez ardilla que se come el rabo .lo suplico ayudarme. Tengo 64 años y estoy desesperada y muy angustiada
ResponderEliminar